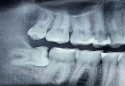
Оние кои немале проблем со умниците, не знаат што е вистинска физичка болка.Толку силна, што…
Здравје
Во вечерните часови, пред да одите во кревет, измешајте ги состојките во тегла, и наутро…
Сакате за кратко време да го намалите струкот? Доколку се придржувате кон овие шест точки,…
Некои видови на храна кои се купуваат во супермаркетите содржат инструкции за тоа како да…
На вакво време нема на кој не му годи да биде облечен со топли чорапи…
Повеќето луѓе секојдневно се тушираат. Тоа им е секојдневна обврска или задоволство што секако не…
Окситоцинот е познат како хормон на љубовта. Ги контролира мускулите на матката за време на…
Помнењето со текот на годините станува се послаби. Тоа е нормално. Но, некои луѓе додека…
Голема непријатност и проблем со кој се соочуваат голем број луѓе е токму непријатната миризба…
Убавата насмевка е вистински погодок за потполна убавина. Во убавата насмевка многу лесно можете да…









